Заболевания десен у взрослых: фото, симптомы и лечение

image
image
image
image

Гингивит, пародонтит – за этими непонятными названиями кроется опасное для зубов заболевание, связанное с воспалением десен, которое, при отсутствии лечения, может привести к потере зубов.

Каковы же причины такого недуга и как правильно с ним бороться?

Сегодня от воспаления десен страдает больше половины человечества, и причины тому самые разные – от неправильного образа жизни до плохой наследственности или нарушений работы организма из-за гормональных перестроек.

При этом воспалительные процессы могут различаться по характеру протекания и методикам лечения. Чтобы правильно определиться с терапией и знать что делать, следует ознакомиться со всеми возможными нюансами.

Причины воспалительного процесса

С проблемой воспаления десен сталкивался каждый: у кого-то процесс был выражен больше, у кого-то меньше. Однако реакция на воспалительный процесс разная – одни люди стараются не запускать болезнь и отправляются на прием к стоматологу, а другие пускают дело на самотек, надеясь, что «само пройдет». Столь безответственное отношение к своему здоровью в итоге может привести к осложнениям, с которыми даже с помощью врача будет непросто справиться.

Чтобы не допустить воспалительных заболеваний десен, необходимо знать, что может вызвать воспаление и по каким симптомам можно увидеть, что оно уже есть.

Какими могут быть причины

1. Микробы

В ротовой полости человека находится огромное число микроорганизмов, которые в нормальных условиях не представляют никакой опасности. Общая иммунная система организма и местный иммунитет справляются с регуляцией их численности, роста и влияния на здоровье до тех пор, пока не наступают благоприятные для микробов условия, когда они становятся серьезной угрозой.

2. Недостаточный или плохой уход за ротовой полостью

При отсутствии регулярной чистки зубов, неправильном подборе зубной щетки, пасты, эликсира или ополаскивателя на поверхности зубов накапливается налет, служащий прекрасной средой для размножения болезнетворных микроорганизмов.

3. Наличие зубного камня

Мягкий зубной налет под воздействием продуктов жизнедеятельности бактерий превращается в твердый зубной камень. Появление этих твердых образований способствует развитию воспалительного процесса; десны травмируются и «проседают», а болезнетворные микроорганизмы проникают в более глубокие слои мягких тканей десны.

4. Иные причины

Помимо выше названных причин, воспалительные заболевания десен могут возникать:

  • из-за неправильного протезирования и пломбирования зубов
  • курения и недостатки витаминов
  • заболеваний ЖКТ и эндокринной системы

Также воспаление десен может вызываться наследственной предрасположенностью или ослаблением защитных функций организма.

Как проявляется симптоматика?

Воспаление не возникает сразу и сильное – оно идет поэтапно:

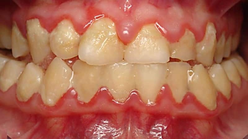
  • отечность и покраснение десен, чрезмерно мягкие ткани (это чувствуется при прощупывании пальцем или при касании зубной щетки)
  • ослабляются кровеносные сосуды, что видно по появившейся крови на щетке или зубной нити (сначала это только следы, но в дальнейшем кровь может выступать при малейшем прикосновении даже языком к десне)
  • повышается чувствительность зубов, так как десны проседают, шейка зуба оголяется, а поскольку она не столь защищена как коронка эмалью, любое воздействие ощутимо
  • развитие воспалительного процесса может привести к тому, что малейшее раздражение становится источником боли: становится непросто пережевывать пищу, а попадание холодной или горячей, кислой или сладкой пищи на воспаленное место вызывает порой нестерпимую боль
  • поверхность и очертания десен смотрятся неоднородно, ткани становятся рыхлыми
  • постоянным неприятным спутником становится запах изо рта, от которого невозможно избавиться ни зубными эликсирами, ни чисткой зубов

Общие факторы

К возникновению воспалительных заболеваний десен приводит ряд факторов, ослабляющих функционирование иммунной системы человека, и делающих десны восприимчивыми к атакующим их болезнетворным микроорганизмам (начинается воспаление десны – гингивит). Этими факторами часто становятся:

  • периоды гормональных изменений (половое созревание, беременность, менструации или менопауза)
  • стрессовые ситуации
  • расстройства функций защитных функций организма
  • активное курение

Воспаление десен может вызываться нарушением в составе слюны, равновесия бактериальной флоры при диабете. Вызвать воспалительные заболевания десен может нехватка витаминов.

Если эти факторы риска присутствуют в жизни, то следует тщательно отслеживать образование зубного камня и как можно быстрее удалять эти нежелательные отложения.

Местные факторы

image
image
image
image
image
image
image

Пародонтит –

При отсутствии лечения или неправильном лечении катарального гингивита – последний неминуемо превращается в хронический генерализованный пародонтит. И если при гингивите воспаление охватывает только слизистую оболочку десны, то при пародонтите происходит уже постепенное разрушение зубо-десневого прикрепления, а также костной ткани вокруг зубов. Как следствие – со временем это приводит к появлению подвижности зубов и необходимости их удаления.

Заболевания десен: фото зубов при пародонтите

Пародонтит может быть легкой, средней и тяжелой степени. Симптомы легкой формы пародонтита мало отличаются от симптомов катарального гингивита, и пациент в большинстве случаев не заметит, что состояние десен «еще сильнее ухудшилось». В дополнение к симптомам катарального гингивита пациент может заметить, что десна начинает немного отходить от зубов, либо иногда из под десны выглядывает зубной камень (рис.5). Характерные симптомы пародонтита становятся заметны особенно при средней и тяжелой его формах.

Отличия пародонтита от гингивита – в дополнение к кровоточивости и болезненности десен, а также к отеку, покраснению или синюшности десны при катаральном гингивите – при пародонтите происходит:

  • разрушение зубо-десневого прикрепления,
  • разрушение волокон периодонта, за счет которых зуб прикрепляется к кости,
  • образование поддесневых зубных отложений,
  • разрушение костной ткани,
  • образование пародонтальных карманов (рис.6),
  • гноетечение из пародонтальных карманов (в периоды снижения иммунитета),
  • + со временем появятся подвижность и расхождение зубов.

Отличия пародонтита гингивита: схема

image

При легком пародонтите глубина пародонтальных карманов составляет не более 3,5 мм (и это еще позволяет провести весьма эффективное лечение и стабилизировать процесс). При пародонтите средней/ тяжелой степени глубина пародонтальных карманов достигает уже 5-6 мм, а объем разрушения кости вокруг зуба таков, что появляется подвижность сначала отдельных, а потом и большинства зубов. Далее – под воздействием механических нагрузок зубы начинают смещаться в разных направлениях, либо веерообразно расходится (рис.6-7).

Подробнее о симптомах пародонтита, о том как он выглядит на рентгеновских снимках – вы можете узнать в статье: → Признаки пародонтита у взрослых

Важно: за долгие годы работы пародонтологом я видел тысячи пациентов с пародонтитом, всегда возникающим практически по одной и той же причине. В основе всегда нерегулярная и/или некачественная гигиена полости рта, на фоне которой пациент долгие годы использует антисептические полоскания, гели и зубную пасту от кровоточивости (считая, что это и есть лучшая и единственная защита от воспаления десен). Такие пациенты тратят огромное количество времени на разные процедуры, но никак не могут себя заставить — потратить 3 раза по 5 минут, чтобы почистить зубы после каждого приема пищи.

Как результат – пациенты при помощи противовоспалительных средств регулярно приглушают симптомы воспаления, в то время как зубной налет и твердый зубной камень продолжают разрушать десны, только более незаметно. Это происходит потому, что большинство пациентов с пародонтитом борются исключительно с симптомами заболевания (кровоточивостью, отеком десен), а не с причиной вызвавшей их воспаление – мягким микробным зубным налетом и зубным камнем.

Локальная форма пародонтита –

Кроме хронического генерализованного пародонтита, с которым большинство пациентов и обращается за лечением воспаления десен – существует и так называемый локализованный пародонтит. Для последнего характерно развитие в области не всех, а всего 1-2 зубов. Вызывается от местными причинами. Это может быть нависающий край пломбы в межзубном промежутке или наоборот некачественно поставленная пломба, в результате чего может не быть плотного контакта между зубами в межзубном промежутке.

Это может быть травматический прикус, т.е. так называемый «суперконтакт» (когда зубы смыкаются не одновременно, а есть преждевременное накусывание на какой-то из зубов, что вызовет его механическую перегрузку). Это могут быть плохо изготовленные съемные протезы, а также некачественные искусственные коронки. Последние, как и пломбы, могут либо травмировать десневой край, либо иметь суперконтакты, либо иметь плохие контакты с соседними зубами в межзубных промежутках.

Лечение локализованного пародонтита заключается в устранении травматического фактора. Это может выражаться в необходимости замены пломбы, коронки, протеза, либо при наличии суперконтактов – в необходимости проведения избирательного пришлифовывания зубов. Остальное лечение проводится только после устранения травматического фактора. Оно может включать противовоспалительную терапию, а также кюретаж пародонтального кармана.

Гингивит

Гингивитом называется воспаление десны, вызываемое местными и общими неблагоприятными факторами, при этом не отмечается нарушение целостности в месте зубо-десневого соединения.

Хотя гингивит намного проще вылечить, чем пародонтоз или пародонтит, расслабляться не следует: несвоевременное обращение к стоматологу и задержки с лечением могут привести к весьма ощутимым последствиям. Во-первых, понадобится больше потратиться на лечение; во-вторых, неизвестно, какие побочные эффекты могут проявиться в общем самочувствии из-за «простого» воспаления десен.

Основной причиной, вызывающей гингивит, все же служит несоблюдение элементарных гигиенических правил или полное отсутствие гигиены ротовой полости. К заболеванию могут привести травмы различного характера, неправильная установка протезов, ослабление иммунитета. Гингивит характеризуется неглубоким воспалением десны вокруг зуба или нескольких зубов. В стоматологии выделяют несколько форм данного заболевания.

Катаральный гингивит

Наблюдается покраснение десны около зуба или нескольких. Нередко десны кровоточат, может быть небольшой зуд, боль при еде или гигиенических процедурах. Это наиболее распространенная форма.

Язвенный гингивит

Тяжелая форма заболевания, когда поражены большие участки десны и виден характерный сероватый налет. При запущенной стадии возможно образование гнойных очагов, некроз мягких тканей, появляется неприятный запах изо рта.

Гипертрофический гингивит

В клинике этой формы отмечается уплотнение и разрастание мягких тканей десны, приводящее порой к ороговению отдельных ее частей.

image
image
image
image
image

В чем опасность?

Если лечение не начать вовремя, гингивит может спрогрессировать в пародонтит, когда воспаление затрагивает не только десны, но и более глубокие околозубные ткани. На этом этапе к симптомам добавляются зуд в деснах, оголение шеек и корней зубов, их подвижность и расшатывание. Формируются пародонтальные карманы — углубления вокруг зубов, образованные за счет разрушения окружающих тканей. В таких местах скапливаются остатки пищи, микроорганизмы, жизнедеятельность которых усугубляет воспалительный процесс.

image
image
image

Воспалительные процессы в ротовой области

Сегодня выделяется целый ряд факторов, способных привести к возникновению воспалений различного характера в полости рта.

Воспаление десен вызывает дискомфорт у больного и не способствует улучшению общения с окружающими: не очень приятно разговаривать с человеком, у которого постоянный запах изо рта (а он сопровождает любое воспаление). Однако не следует думать, что все ограничивается лишь ротовой полостью: попадая в желудок, инфицированная слюна может спровоцировать довольно серьезные системные заболевания.

Воспалительный процесс во время беременности

Беременность практически у всех женщин в плане состояния ротовой полости протекает проблемно: ослабляется и начинает разрушаться зубная эмаль; нередко воспаляются десны.

Причинами, вызывающими воспаление и боль в деснах могут быть разными:

  • ослабление защитных функций всего организма и местного иммунитета, как следствие
  • меняется диета, обменные процессы протекают в непривычном для организма режиме, что приводит к ускорению образования зубного налета
  • пренебрежительное отношение к правилам гигиены рта при беременности

В конечном итоге за день скапливается внушительный слой налета на зубах, который служит отличной средой для размножения болезнетворных бактерий, вызывающих воспалительные заболевания ротовой полости.

Как таковой налет на зубах не представляет никакой опасности, если удаляется вовремя и достаточно хорошо. Утренней и вечерней чистки полости рта вполне достаточно, чтобы избежать появления зубного налета. Во время беременности состоянию зубов, десен следует уделять особое внимание, не рассчитывая, что все пройдет само собой.

Непролеченный как положено гингивит может перейти в пародонтит, который гораздо серьезнее и может привести к потере абсолютно здоровых зубов.

Следить за состоянием десен надо буквально с первых дней беременности, поскольку уже в первые недели могут обозначиться первые признаки воспаления. Если появилась боль в деснах, воспаление и кровоточивость, следует сразу отправляться на прием к врачу. Не стоит откладывать посещение стоматолога и лечение зубов на послеродовый период: будет просто некогда, а самое главное вы потеряете время, что вызовет более серьезные последствия.

Протезирование и установка коронок

Ортопедические стоматологические операции – сами по себе непростые процедуры, а на фоне воспаления десен появляются дополнительные сложности. Если необходимо протезирование, то надо предварительно пролечить полость рта, убрать воспалительные процессы, а после этого ставить ортопедические конструкции. В начальной стадии от любого заболевания избавиться легче, поэтому ранее лечение воспаления будет эффективнее. Если требуется установка протезов при пародонтите, то надо знать:

  • процесс будет более длительный из-за необходимости предварительного лечения
  • «шатающиеся» зубы не получится вновь закрепить в десне полностью, а если зубы слишком подвижны, их придется удалить; даже внешне здоровые, без следов кариеса зубы удаляются, так как для протезов должна быть прочная надежная опора
  • если делать имплантацию, то пародонтит не будет противопоказанием

При пародонтите выбор протезов невелик. Даже в стадии ремиссии этого хронического заболевания нельзя ставить цельнолитые металлокерамические коронки, из металла и керамики. Для надежной установки постоянных протезов необходимо, чтобы соседние зубы были неподвижны, иначе начнет расшатываться протез, могут деформироваться опорные зубы.

Определить, какой тип конструкции подходит именно вам может только стоматолог-ортопед. На основе осмотров, обследования он решает, какая операция требуется: установка моста, съемных протезов, циркониевых коронок или имплантация. У хорошего специалиста для вас обязательно найдется вариант, какой бы сложной не была ситуация с зубами!

Негативное влияние зубов мудрости

Зубы мудрости начинают резаться после 18–19 лет. Это третья пара жевательных зубов человеку достается непросто: десны воспаляются, отекают, их буквально «разрывает». Но при слишком сильной боли, распухании десны следует обратиться к стоматологу. Возможно, необходимо врачебное вмешательство или применение специальных медикаментозных препаратов и средств гигиены.

Воспаление десны вокруг зубов мудрости может появляться по многим причинам:

  • трудно очистить зубной щеткой от остатков пищи, налета, что приводит к активному размножению микробов
  • травмируются мягкие ткани десны: само по себе прорезывание проходит тяжело, плюс возможен неправильный рост зуба мудрости
  • воспаление вокруг восьмерок может вызываться стоматитом, гингивитом, пародонтозом

В любом случае воспаление десны вокруг зубов мудрости требует лечения, чтобы оно не распространилось дальше. Часто восьмерки удаляют вскоре после их появления.

Болезни десен: лечение

Когда они все же приходят – они готовы на все, лишь бы не удалять зубы, но только это чаще всего и можно сделать. Поэтому, читая эту статью, у вас есть 2 выбора. Первый вариант – вы можете взять для себя только схему проведения противовоспалительной терапии, и далее – лечиться дома самостоятельно. Второй вариант – также пройти курс домашней противовоспалительной терапии, но перед этим – посетить пародонтолога и удалить причинный фактор воспаления десен (т.е. зубные отложения).

Важно: помните, что гингивит обратим, и его правильное лечение ведет к полному прекращению воспаления в деснах, и он больше не возникнет, если вы нормализуете процесс гигиены полости рта. Развитие пародонтита начинается с разрушения зубо-десневого прикрепления в области шейки зубов. Как только волокна этого прикрепления будут разрушены – для патогенных бактерий открывается путь под десну и к разрушению уже и периодонтального прикрепления зуба к кости.

Как-либо восстановить разрушенное зубо-десневое прикрепление – невозможно, и с этих пор вы уже всегда будете уязвимы для пародонтита. Ниже мы расскажем общие принципы лечения болезней десен, также вы найдете полезные ссылки, где некоторые вопросы лечения обсуждаются более подробно.

Как лечить десны при гингивите –

Вообще нужно начинать с консультации пародонтолога, и если при осмотре обнаружатся пародонтальные карманы, то врач направляет пациента на панорамный снимок зубов – с предварительным диагнозом «хронический генерализованный пародонтит». Если же ставится диагноз «катаральный гингивит», то это повод для радости, т.к. в этом случае лечение будет состоять только из снятия зубных отложений, короткого курса противовоспалительной терапии + регулярная гигиена.

Снятие микробного налета и зубного камня проводится чаще всего при помощи ультразвуковой чистки. Это вполне безболезненная процедура, если, конечно, у вас нет повышенной чувствительности шеек зубов (в этом случае можно будет сделать анестезию). Обычно при гингивите достаточно только 1 посещения врача-пародонтолога, который за 1 час снимет вам отложения, назначит препараты, научит вас пользоваться зубной нитью и правильно чистить зубы.

Видео удаления зубных отложений ультразвуком –

Противовоспалительная терапия –

Для лечения катарального гингивита обычно достаточно 8 дней (для пародонтита – 10 дней). Нет никакой необходимости проводить антисептические полоскания и обработку десен гелем на приеме у стоматолога, вы прекрасно с этим справитесь и в домашних условиях. Процедуры проводятся 2 раза в день – утром и вечером, причем каждый раз это лучше делать только после еды и последующей гигиены полости рта. Схема будет следующей..

Сначала – позавтракать и почистить после этого зубы (не до завтрака, а после!). После этого необходимо прополоскать рот антисептическим раствором. Это может быть стандартный 0,05% раствор хлоргексидина – такой концентрации будет достаточно при небольшом воспалении. При выраженном воспалении и кровоточивости – лучше использовать растворы с содержанием хлоргексидина 0,2-025%. Оптимальный вариант тут это ополаскиватель Лакалут Актив – с 0,25% хлоргексидином и содержанием лактата алюминия, либо «PresiDent Antibacterial».

Для полоскания рта нужно набрать в рот 10-15 мл раствора и, ничего не сплевывая, прополоскать рот в течение 1 минуты. Сплюнуть. Второй этап утренней обработки – нанесение лечебного геля на воспаленные десны. Самый сильный вариант – гель Холисал, при умеренном воспалении можно также применять гель Пародонтоцид. Чтобы гель лучше фиксировался на влажной слизистой оболочке – последнюю сначала нужно подсушить чистым сухим марлевым тампоном.

Далее – выдавить гель на палец, и как следует оскалившись перед зеркалом – нанести гель на краевую часть десны, которая прилежит непосредственно к зубам. Обычно гель наносится на десны только с передней поверхности зубных рядов. После этого 30 минут не пить и полоскать рот, 2 часа ничего не есть. Образующуюся слюну не нужно копить или сплевывать, проглатывайте ее как обычно. Вечером обработку повторить – снова после еды и чистки зубов прополоскать рот, а потом нанести гель.

Полезные ссылки –

Комплексный подход к лечению

Чтобы остановить дальнейшее развитие заболевания и убрать неприятные ощущения, необходимо провести следующее:

  • диагностировать заболевание для назначения соответствующей терапии
  • удалить отложения и камни на зубах
  • лечение воспалений
  • санировать ротовую полость

При необходимости проводится шинирование шатающихся зубов, ставятся протезы и удаляются не подлежащие лечению зубы. После окончания лечебного курса назначаются поддерживающие терапевтические процедуры. Только комплексный подход гарантирует полное излечение воспаления, а соблюдение рекомендаций позволит избежать рецидивов.

Консультация и первичный осмотр специалиста

При первом посещении стоматолога пациент проходит первичный осмотр и получает консультацию о возможных методиках лечения выявленного заболевания. После тщательного осмотра каждого зуба доктор в медкарту пациента записывает данные о состоянии зубов и десен. Посетителю дается информация о том, какие и как зубы надо лечить, может быть рассчитана примерная стоимость необходимых процедур.

Противовоспалительная терапия

Проблема воспаления десен – распространенное явление, однако, занимаясь самолечением, от него невозможно избавиться. Чтобы не запустить заболевание и не лишиться зубов, следует своевременно прибегнуть к помощи стоматолога.

Совместное применение методов консервативной местной терапии и физиотерапии дает хороший эффект. Медикаментозные средства, используемые при лечении пародонтита, подразделяются на несколько категорий:

  • антибактериальные средства (противогрибковые, антисептические препараты, антибиотики)
  • ферментативные, стероидные и нестероидные препараты
  • гормональные, иммуностимулирующие средства, витамины

Если воспаление обостряется, то может назначаться операция по вскрытию десны, чтобы вышел скопившийся гной. При пародонтите проводятся плановые операции:

  • лоскутные
  • гингивэктомия
  • кюретаж

Физиотерапевтические процедуры назначаются после избавления от выраженного воспаления.

Лечение воспаления, вызванного травмой

Различают два вида травм десен – хронические и острые. Первые являются следствием действия постоянного раздражающего фактора – неправильно установленного протеза, неудачно сделанных мостах, коронках и прочее. В таком случае не обойтись без обращения к врачу-ортопеду. Острые травмы могут быть получены при пользовании столовыми приборами, зубной нитью или жесткой щеткой, а также в драках и при падениях.

Противоспалительное лечение проводится пародонтологом. Во-первых, необходимо устранить причину воспалительного процесса:

  • проводится замена старых или некачественных пломб
  • снимаются неудобные протезы
  • рекомендуется купить мягкую зубную щетку

Далее лечебный курс проводится по этапам:

  1. снимается острая боль
  2. назначается противовоспалительная терапия

Особенности выбора зубной пасты и щетки

Зубная щетка – предмет личной гигиены, она должна быть индивидуальной для каждого. Пользование щеткой не должно быть более двух-трех месяцев.

Если нет никаких проблем с деснами, подойдет зубная щетка жесткости medium (средняя). Если есть какие-то заболевания десен, то щетка должна быть мягкой (soft) во избежание травматизма десен.

Если вы привыкли пользоваться электрощеткой, то надо знать, что не следует чистить зубы больше 3-х минут, а движения щеткой делаются те же, что и при чистке простой щеткой. Для снижения нагрузки на зубы, следует электрощетку к поверхности зубов прикладывать с меньшим усилием по сравнению с обычной.

Большое значение имеет выбор пасты и правила пользования ею. Не стоит думать, что чем больше выдавить пасты из тюбика, тем лучше можно почистить зубы. На качество процедуры объем пасты не влияет – достаточно выдавить немного пасты, размером с горошину.

Подбор зубной пасты также индивидуален и зависит от состояния десен и зубов. Если десны кровоточат, то в составе зубной пасты должны присутствовать антибактериальные и противовоспалительные компоненты. Чаще это лекарственные растения: ромашка, эвкалипт, кора дуба, шалфей, экстракты хвойных, эхинацея и другие. Хорошо действует паста с прополисом.

В качестве профилактической пасты следует использовать те, в которых содержится цитрат цинка, лактат алюминия. Они обладают вяжущим действием и предотвращают пародонтоз и пародонтит. Для восстановления слизистых надо покупать пасты с содержанием алантоина и бисаболола.

Для выбора максимально подходящей в вашем случае пасты лучше обратиться к помощи стоматолога. После осмотра и оценки состояния ротовой полости врач сможет порекомендовать вам именно ту пасту, которая нужна для предупреждения заболевания или как составляющая лечебного курса при уже имеющемся воспалении.

Хирургическое вмешательство

Исходя из общей картины ситуации, специалист может прибегнуть к хирургическому лечению. Так, на раннем этапе патологического процесса, когда пародонтальный карман не превышает 5 мм, удаляются поддесневые отложения и грануляционные изменения в десне (закрытый кюретаж).

В запущенных случаях придется сделать десневой надрез, а затем послойно удалить слизистую, также доктор вживит в десну синтетические материалы, а в завершение наложит швы. Иногда используется лоскутная операция, которая позволяет устранить очаги опущения: производится надрез десневого края, удаляются отслоившиеся ткани, на их место подтягивается лоскут ткани с другого места слизистой полости рта.

Важно! Народные методы лечения предполагают полоскания различными лекарственными отварами из коры дуба, ромашки, листьев земляники, зверобоя, календулы. Однако самолечением не стоит заниматься, т.к. народная медицина может лишь ослабить симптомы, но не устранить причину патологии.

Послеоперационный этап обычно длится несколько месяцев и заканчивается с полным заживлением поврежденных тканей.

Профилактические мероприятия

Болезнь легче предупредить, чем лечить. Для профилактики воспалений десен необходим целый комплекс мероприятий гигиенического и общеоздоровительного характера. Необходимо предупреждать появление зубного камня; поддерживать благоприятную микрофлору ротовой полости; предотвращать размножение микробов, вызывающих воспаление и правильно проводить гигиенические процедуры по уходу за ротовой полостью.

В комплексную профилактику включаются такие мероприятия:

  • соблюдение гигиены полости рта, применение для регулярного ухода правильно подобранных средств ухода и зубной щетки
  • обязательные посещения врача дважды в год; при появлении первых признаков воспаления идти на прием к стоматологу вне плана
  • лечение общесоматических заболеваний
  • соблюдение правильного режима питания с введением в меню большого количества продуктов, содержащих много клетчатки и витаминов (фрукты, овощи желательно употреблять без тепловой обработки)
  • ввести в ежедневный рацион сельдерей, яблоки, морковь
  • использование ополаскивателей для полости рта с антисептическими свойствами, не дестабилизирующих баланс микрофлоры во рту

Причины рецессии

Рецессия – это не самостоятельное заболевание. Оголенная шейка зуба говорит о воспалении тканей пародонта – пародонтите или пародонтозе, которые в запущенном состоянии в 90% случаев являются причиной, почему десна отходит от зуба1. Эти заболевания приводят к сокращению объемов десневой ткани, нарушению ее обменных процессов.

Полезная информация! Пародонтоз связан с общим нарушением обменных процессов в организме. А вот пародонтит вызывают инфекции, проникнувшие в ткани пародонта, которые отвечают за удержание зуба в лунке. Однако пародонтит является наиболее распространенным заболеванием. Он часто встречается у детей примерно в 10-летнем возрасте. Заболевание поражает еще не сформированные ткани, которые остро реагируют на малейшие раздражители, и выступает причиной того, что отходит десна от зуба у ребенка. В некоторых случаях пародонтит развивается при беременности т.к. организм женщины расходует питательные вещества на формирование плода.

Также оголяться зубы могут по следующим причинам:

  • некачественное осуществление гигиенических процедур, которое приводит к образованию зубного налета и камня, вследствие чего может развиться гингивит, способствующий сокращению объемов десневых тканей,
  • регулярное травмирование десен жесткой щеткой, грубыми движениями при чистке, неправильно подобранными протезами или коронками,
  • неправильный прикус: к примеру, при открытом и глубоком прикусе нарушается кровообращение, из-за этого десневые ткани убывают. Нередко рецессия возникает на фоне кривых зубов и их скученности,
  • несбалансированный рацион: при преобладании мягких продуктов, из-за отсутствия процесса активного жевания, кровоток десен ослабевает, замедляется слюноотделение, в полости рта формируются пищевые отложения,
  • гормональные изменения в период полового созревания, у женщин во время менопаузы, беременности, которые делают слизистую более чувствительной и уязвимой,
  • процесс естественного старения организма, в результате которого эпителий атрофируется, десневые ткани теряют тонус,
  • вредные привычки: так, проблемой курильщиков является коричневый налет, который в последующем негативно влияет на здоровье десен.

Помимо местных причин, на возникновение рецессии могут влиять серьезные хронические заболевания человека: слабый иммунитет, сахарный диабет, патологии сердечно-сосудистой системы капиллярного кровообращения, авитаминоз и другое. Все они связаны с изменением обменных процессов, что нарушает питание клеток.

Антисептические полоскания против воспаления

Хорошо очищают от микробов и выделяемых ими токсинов, частично уничтожают болезнетворные микроорганизмы, защищают эмаль и снижают ферментативную активность разного вида ополаскиватели.

Используемые при воспалительных процессах полоскания можно подразделить на средства:

  • антимикробного действия;
  • противовоспалительного действия;
  • смешанного (или комбинированного) действия.

В состав противомикробных растворов входят антисептические препараты или антибиотики. Они не просто убирают временно воспаление, они действуют на первопричину воспаления – патогенную микрофлору.

Важное замечание: при использовании ополаскивателей с противовоспалительными средствами рекомендуется одновременное применение гелей для обработки десен с содержанием антибиотиков или антисептиков.

Как делать не нужно

Часто пациенты занимаются самолечением и пытаются избавиться от заболеваний десен с помощью перекиси водорода. Несмотря на то, что это хорошее антисептическое средство, для использования в лечении воспалительных заболеваний десен оно не подходит и не дает никакого эффекта, кроме пены во рту. Самостоятельно промыть зубодесневые карманы с помощью шприца не получится, требуются определенные знания и навыки.

Травмы пломбами и коронками

Неинфекционные причины воспаления десен – нависающие края пломб и коронок. Патология развивается из-за постоянных травм мягких тканей композитными материалами или протезами и носит локальный характер.

Нависающие края пломбы не только вызывают воспаление, но и способствуют скоплению пищи в межзубном пространстве. В этом случае достаточно спилить лишнюю часть или полностью поменять пломбу.

Воспаление может развиться из-за травмирования слизистой некачественными протезами.

Травмы мягких тканей также вызывают некачественно изготовленные коронки, мосты и протезы. Что делать, если воспалились десна по этой причине, определяют по развитию заболевания. Вначале применяют медикаментозное лечение. Если оно дает лишь временный эффект – конструкцию придется заменить.

Гели и мази против воспалительного процесса

Для лечения пародонтита используются аппликации с различными лечебными средствами. У каждого имеются свои рекомендации по применению, однако при всех процедурах следует строго придерживаться единого правила: руки должны быть чистыми (обработку можно проводить ватными палочками)

После приема пищи следует почистить зубы и выдавить небольшое количество геля из тубы. Нанести средство на пораженную часть десны, после чего не есть и не пить полчаса. Не стоит брать много геля или мази: эффект не усилится, а реакция на проглоченный препарат может последовать.

Однако никакими мазями и гелями, используемыми дома нельзя заменить стоматологическое лечение. Они могут стать хорошей вспомогательной составляющей комплекса лечебных мероприятий, назначенных врачом. Они могут снять неприятные ощущения, предотвратить гингивит или пародонтит, но заменить лечение не смогут.

Симптоматика

Воспалительный процесс развивается медленно и постепенно прогрессирует. Он сопровождается следующими симптомами:

  1. Покраснением.
  2. Кровоточивостью во время чистки зубов или приема пищи.
  3. Опухлостью.
  4. При инфекционном характере заболевания из десневых карманов начинает выделяться гной.
  5. Неприятным запахом.
  6. Омертвлением мягких тканей.

Здоровые десны имеют ровный розовый цвет.

Существует несколько причин воспаления десен. Лечение будет зависеть от того, какой фактор спровоцировал болезнь.

Зубные пасты против воспаления десен

Если десны кровоточат, то следует правильно подобрать зубную пасту. Хорошим кровоостанавливающим действием обладает лактат алюминия; немногим уступают ему хлоргексидин и минеральные соли.

Что касается других компонентов, входящих в состав зубной пасты для десен – бисаболола, аллантоина, экстрактов лекарственных растений, то прямо на кровоточащие десны они не воздействуют. Они оказывают противовоспалительное действие, вследствие чего снижается и может исчезнуть кровоточивость. Таким образом, можно говорить лишь об их опосредованном воздействии на кровоточивость десен, поэтому и положительный результат отмечается позднее, чем при использовании пасты с лактатом алюминия или хлоргексидина.

Причины развития патологии

Основные причины воспаления десен могут провоцироваться как внешними, так и внутренними факторами. Кроме того они различаются масштабом патологических процессов.

Основными внешними факторами воспаления десенной ткани являются:

  • наличие вредных привычек (курение, алкоголь);
  • недостаток в организме минералов, витаминов;
  • заболевания желудочно-кишечного тракта, проблемы с сердцем;
  • развитие сахарного диабета;
  • гормональный дисбаланс;
  • поражение организма инфекционными возбудителями;
  • длительный прием некоторых лекарственных препаратов (антидепрессанты, противозачаточные средства, сосудосуживающие назальные капли);
  • сниженная работа иммунной системы.

К внутренним провокаторам воспаления десенной ткани относятся:

  • формирование костной ткани зубного ряда у младенца (прорезывание зубов);
  • травмирование мягких тканей, химическое или тепловое воздействие на слизистую;
  • нарастание зубного камня на эмаль;
  • недостаточное соблюдение норм гигиены ротовой полости, приводящее к развитию патогенной микрофлоры на слизистой оболочке;
  • неграмотно проведенная процедура протезирования, приводящая к травмированию мягких тканей установленной коронкой, пломбой.

При наличии на десне ранок, полученных в результате неверно проведенного протезирования, происходит развитие гингивита, пародонтита. Это может повлечь довольно серьезные осложнения генерализованного характера, проявляющиеся поражением большой области или всей ротовой полости.

фото: Ранка на десне — гингивит

Воспаление десен может развиваться по причине использования неправильно подобранной зубной щеткой или пастой. В зависимости от состояния зубной эмали, чувствительности зубов необходимо подбирать щетку оптимальной жесткости, перед покупкой зубной пасты внимательно изучать компоненты, входящие в ее состав. Для предупреждения развития воспаления лучшим решением при выборе гигиенических принадлежностей является предварительная консультация опытного стоматолога.

Во время беременности женский организм испытывает гормональные перестройки, что также может провоцировать воспаление десен. Частый контакт с химическими веществами, употребление в пищу аллергенных продуктов является непосредственной причиной воспаления слизистой. Следует внимательно относиться к своему здоровью, выбирая только полезные для организма продукты, насыщать его достаточным количеством минеральных веществ, витаминов.

Народные методы лечения воспаления десен

Нетрадиционная медицина предлагает множество способов лечения воспалений в ротовой полости. Гингивит, пародонтит и пародонтоз лечатся мазями, настойками, полосканиями и особыми «масками». Для приготовления лечебных составов помимо лекарственных растений используется мед, соль, сода, перекись.

Но надо понимать, что всерьез средства народной медицины не могут стать полноценным лечением. При обнаружении первых признаков воспалительных заболеваний следует идти на прием к стоматологу, а народными средствами пользоваться лишь по его рекомендации.

Описание проблемы

Отхождение десны от зуба в стоматологии получило название «рецессия». Рецессия может быть локализованной (отошла десна между одним-двумя зубами или от переднего зуба) или генерализованной (нижняя или верхняя десна отходит от всех зубов, т.е. патология распространяется на весь ряд или даже на обе челюсти одновременно). Проблема часто связана с истиранием, отслаиванием десневого края и обнажением части зуба, его корня. Это приводит к образованию пародонтальных карманов и опущению десны.

Зуб становится уязвимым перед различными болезнетворными микроорганизмами, которые без проблем проникают в образовавшиеся карманы и вызывают различные стоматологические заболевания. Если вовремя не остановить патологический процесс, в результате разрушения тканей пародонта, а также связок вокруг зубного корня пациент может лишиться одного, нескольких или даже всех зубов.

На первых этапах развития рецессия дает о себе знать повышенной чувствительностью зубов, которые затронула патология. Также при визуальном осмотре видно, что эти зубы выглядят длиннее, чем остальные. Наличие этих признаков уже является причиной для незамедлительного визита к стоматологу.

Цены на лечение воспаление десен в нашей клинике

Говорить о цене лечения любого воспалительного заболевания десен можно лишь после уточнения диагноза, определения причины и уровня запущенности заболевания. При своевременном посещении стоматолога часто достаточно провести профессиональную чистку зубов. В тяжелых случаях возможно назначение хирургических операций. Если при осмотре выявляется наличие сопутствующих заболеваний полости рта, осложняющих проведение терапевтического лечения гингивита, пародонтоза, пародонтита, потребуется консультация профильного стоматологического специалиста – ортопеда, хирурга или терапевта. Это также влияет на конечную стоимость лечения.

Не следует затягивать с лечением пародонтита и гингивита, потому что они достаточно быстро могут перейти в более тяжелую форму. Если десны отекают, краснеют или начинают кровоточить; ощущается боль и зуд при еде; появились камни и обильный налет на зубах, то надо незамедлительно посетить стоматолога.

Грамотный врач всегда в курсе самых современных методов лечения и после осмотра даст рекомендации и назначит при необходимости соответствующий лечебный курс.

Гингивит — неприятность эту мы переживем

Перечисленные факторы достаточно часто приводят к развитию в деснах таких опасных воспалительных процессов, как гингивит и пародонтит. При этом наблюдается генерализованный характер воспаления, подразумевающий поражение всей ротовой полости.

Катаральный гингивит

Такая форма воспаления встречается наиболее часто. Провоцировать заболевание могут как общие, так и местные факторы.

Для такого вида воспалительного процесса характерны следующие симптомы:

  • незначительная отечность, кровоточивость и покраснение десны;
  • изменение острой формы десневых сосочков на куполообразную;
  • появление неприятного запаха и привкуса, ощущения зуда;
  • болезненность десны при контакте с пищей;
  • повышенная температура, общая слабость;
  • формирование обильного налета (на начальном этапе).

Легкая форма заболевания (поражены только десневые сосочки) может сменяться средней и тяжелой формами с поражением свободной части десен и всего их пространства соответственно.

На фото представлен хронический процесс, для излечение которого потребуется комплексный подход.

Язвенный гингивит

В данном случае воспалительные процессы затрагивают слизистые оболочки десны, провоцируя развитие некроза тканей вблизи десневого края и воспаление региональных лимфоузлов.

Наиболее вероятной причиной такого процесса наряду с переохлаждением, инфекционными заболеваниями и сниженным иммунитетом является плохая гигиена полости рта.

К симптомам, характерным для катарального гингивита, присоединяются:

  • наличие на вершине десневых сосочков грязно-серого налета, снятие которого приводит к кровоточивости десен;
  • рост температуры с учащением пульса, бледностью кожных покровов и потерей аппетита.

При развитии такой формы заболевания крайне важно своевременно начать лечение.

На фото тяжелая форма заболевания с гнойным воспалением, которая требует антибактериального и хирургического лечения.

Гипертрофический гингивит

Особенностью этой формы является реактивное разрастание соединительной волокнистой ткани и эпителиальных базальных клеток, обусловленное хроническим воспалением слизистых оболочек десен. Чаще всего такие нарушения вызваны изменениями в работе эндокринной системы, нехваткой витаминов и нарушением обмена веществ.

При этом появляются следующие симптомы болезни:

  • утолщение эпителия (при отсутствии лечения возможно ороговение);
  • существенное увеличение десны в размерах, изменение ее цвета на темно-красный (гранулирующее течение гипертрофического гингивита);
  • сильное уплотнение ткани десен, появление болезненных ощущений при пальпации (фиброзное развитие).

Профилактика

Как и любую болезнь, такую патологию лучше предотвратить, чем впоследствии длительное время лечиться. Это и хлопотно, и дорого. В качестве профилактических мер можно считать следующие:

  • увеличить употребление продуктов, богатых кальцием – натуральные овощи и фрукты;
  • как можно чаще обрабатывать ротовую полость раствором аптечной ромашки;
  • тщательно выполнять все мероприятия, так или иначе связанные с личной гигиеной;
  • не забывать о регулярных визитах к профильному специалисту. С целью своевременного лечения кариеса и недопущения развития стоматологических аномалий;
  • при наличии дефектов прикуса, работать над их устранением.

Неприятная штука – альвеолит

Иногда после удаления зуба в лунке начинается воспаление. Оно постепенно переходит на окружающие ткани – внешнюю часть десны и надкостницу (если вовремя не заметить и не начать лечени). Этот процесс называется альвеолитом. Почему появляется эта проблема? После того как вам вырвут зуб, на месте, где он находился, собирается кровь. Сгусток перекрывает дно лунки, не позволяя инфекции поступать в ткани периодонта. Если он не сформирован, поврежден, вымыт полосканием рта, лунка гноится. Страдает не только она, но и десна на этом участке. При этом пациент может ощущать боль, но не догадываться, что ее причина — не травма от удаления.

На фото альвеолит зуба

Врачи рекомендуют не есть, не пить и не чистить зубы в течение нескольких часов после хирургической операции по извлечению зуба. Полоскания в этот промежуток времени также исключены.

Греть тем более не стоит. Это лишь спровоцирует размножение бактерий и, как следствие, развитие воспалительного процесса.

Лечение десен: цена

Стоимость услуги формируется из различных аспектов. На нее влияет:

  • стадия недуга;
  • обширность поражения;
  • стоимость лекарственных препаратов;
  • объём работы врача.

Лечение десен в стоматологии требует тщательной и длительной терапии. Опытный врач осмотрит ротовую полость, выявит нарушения в деснах и зубах и начнет необходимое лечение. На цену лечения оказывает влияние и стоимость уколов. Сколько пациент потратит средств — зависит от особенностей заболевания.

Виды воспалительных заболеваний десен

Воспаление десен провоцируют различные патологические процессы ротовой полости, которые по этиологическому принципу разделяют на группы:

  1. Поражение мягких тканей травматического характера, вызванные механическими, физическими или химическими травмами.
  2. Заболевания слизистой оболочки рта инфекционного или грибкового характера:
  • пародонтит;
  • гингивит;
  • стоматит;
  • периостит.

Гингивит

  1. Болезни ротовой полости, вызванные специфическими инфекциями.
  2. Поражение слизистых оболочек рта, обусловленные аллергическими реакциями.

Лечение десен уколами и препаратами

В некоторых случаях могут потребоваться инъекции различных лекарств. Антибактериальные медикаменты назначаются строго индивидуально. Восстановление зубов и десневых тканей включает применение антибиотиков, антибактериальных препаратов. Действие терапии направлено на устранение очага воспаления и прекращение заболевания. Применяются мощные антисептики Актовегин, Солкосерил, которые оказывают эпителизирующий эффект. При остром течении назначается физиолечение.

Применяются так же вакуумный и пальцевой массажи как дополнительный метод терапии. Такие меры позволяют крови лучше циркулировать в пораженных участках и запускают необходимые восстановительные процессы.

Важно! Регулярно следует выполнять гигиеническую чистку зубов, чтобы предотвратить появление минеральных отложений и развитие заболевания.

Симптомы заболевания

Гингивит — это поражение слизистой оболочки десен, воспалительного характера, которое бывает как инфекционной, так и иной этиологии, протекает остро или хронически.

  • выделение крови из десен;
  • болезненность мягких околозубных тканей. Она нарастает во время еды, особенно, когда пища очень холодная или слишком горячая, а также твердая (грубая), перченая, соленая или сладкая;
  • жжение, отечность и покраснение десен. Это может проявляться как отдельными участками, так и распространяться на всю челюсть или даже обе;
  • появление язв, гнойников и пузырьковых образований;
  • увеличение или уменьшение объема десен;
  • зловонное дыхание;
  • признаки интоксикации (рост температуры тела, общее недомогание, отсутствие аппетита).

Классифицируют несколько разновидностей гингивита:

Каждая из них отличается клиническими проявлениями.

  1. Катаральный начинается с покраснения, отечности и выделения крови из десен. Во рту ощущается несильный зуд и болезненность во время еды.
  2. Язвенно-некротический определяется по формированию на слизистой изъязвлений и участков некротизации, а также по неприятному запаху изо рта (галитозу). Может наблюдаться увеличение регионарных лимфоузлов и ухудшение общего состояния.
  3. При гипертрофическом гингивите десневые сосочки растут и покрывают часть зуба. Вначале это не приносит дискомфорта, но со временем появляется боль и кровоточивость при надавливании на десны. Гипертрофическая патология может выражаться:
  • отечной формой, при которой десны болезненны, увеличены в объеме;
  • фиброзной формой. В этом случае слизистая, несмотря на признаки воспаления, не дает выраженной болевой реакции, а реагирует на прикосновения легким дискомфортом. Кроме того, она не кровоточит и может сохранять нормальный цвет.
  1. Атрофический гингивит отличается тем, что объем пародонта вдоль зубного ряда (или локально) уменьшается, постепенно обнажая корни. Субъективно человек ощущает повышенную чувствительность зубов и десен к холодной и горячей пище.

Читать также: Полоскать флюс

В отдельную группу стоматологи выделяют:

  1. Гингивит беременных. Он проявляется симптомами, характерными для гипертрофической разновидности и часто возникает у женщин в период вынашивания ребенка. Причина — гормональная перестройка организма.
  2. Гингивит подростков. Протекает как легкая форма острого катарального, но на почве серьезных нарушений гормонального фона может трансформироваться в гипертрофический.
  3. Герпетический гингивит. Как следует из названия, эта разновидность отличается этиологией и развивается под воздействием герпеса. Часто выглядит как острая форма язвенно-некротического гингивита, на фоне хронического течения вирусной инфекции. Эрозии и язвы возникают не только на поверхности десен, но и на слизистой органов полости рта. Такая форма свидетельствует о сильном снижении иммунитета.
  4. Десквамативный гингивит. Он определяется по частичному отторжению наружного эпителия десны. Начинается с появления участков нездорового красного цвета, которые со временем преобразуются в пузыри, а затем — в болезненные язвы. Главное отличие этой разновидности в том, что ее этиология не установлена. Дескваматозная патология всегда протекает генерализованно и представляет собой хроническое воспаление, с чередованием периодов ремиссии и обострения.

Как отличить гингивит от других заболеваний десен?

Одна из целей диагностики заключается в дифференцировании гингивита от похожих патологий, поражающих десны.

В отличие от других состояний, имеющих такие же симптомы, воспаление десен не сопровождается:

  • нарушением целостности зубодесневого соединения;
  • формированием пародонтальных карманов;
  • расшатыванием зубов.

Примечательно, что патология поражает, в основном, людей молодого возраста.

При появлении дискомфорта во рту не стоит пытаться самостоятельно ставить диагноз. Лучше обратиться к врачу — он сделает это профессионально и безошибочно.

Как осуществляется уход?

Уход за полостью рта при воспалении должен проходить в несколько этапов:

  1. чистка зубов;
  2. полоскание;
  3. нанесение мазей или гелей на десны.

Чистка зубов осуществляется с использованием специальной зубной пасты.

Прежде чем лечить воспаленные десна, необходимо выбрать щетку с мягкой щетиной, поскольку твердая щетина может нанести дополнительные травмы мягким тканям полости рта.

Полоскание поможет удалить остатки пищи из полости рта, а также снять воспаление и облегчить симптомы заболевания.

Также стоит ухаживать и за щеткой, поскольку кровоточивость может привести к тому, что на щетине будут скапливаться болезнетворные микроорганизмы

Гели и мази наносят непосредственно на десны, при этом стоит некоторое время воздержаться от приема пищи и напитков. В процессе лечения стоит отказаться от употребления в пищу слишком холодных и горячих продуктов они могут навредить.

Мази и гели используют несколько раз в день. Они помогают не только уменьшить интенсивность болевого синдрома, но и предотвратить процесс размножения болезнетворных микроорганизмов.

Если встает вопрос о том, как вылечить десна в домашних условиях максимально качественно, то медикаментозная терапия считается наиболее эффективной, поскольку оказывает комплексное воздействие на десна.

Прочие методы борьбы с воспалёнными деснами

Если медикаменты и народные методы не дают результата, врач может назначить физиотерапевтические процедуры, лечение ультразвуком. В самых тяжёлых случаях может потребоваться хирургическое вмешательство.

К врачу следует обращаться при первых же признаках заболевания, поскольку лучше лечить воспаление дёсен на ранней стадии. Запущенный острый гингивит может перейти в хроническую форму или перерасти в более серьёзную патологию – пародонтит или пародонтоз.

Диагностика

При первых же проявлениях воспаления дёсен следует обращаться за помощью к стоматологу, а не пытаться снять воспаление самостоятельно. Как лечить воспаление дёсен правильно, врач может сказать только после точной постановки диагноза и выявления этиологии.

В первую очередь, врач проводит тщательный физикальный осмотр ротовой полости, с выяснением анамнеза. Также во время первичного осмотра стоматолог может провести чистку и обработать воспалённые места антисептиком.

Что касается программы диагностики, то как таковой её нет. Врач может назначать лабораторно-инструментальные методы обследования в том случае, если это требует состояние пациента. Однако общее и биохимическое исследование крови, тест на наличие аллергена, осуществляется обязательно.

Базисная терапия будет зависеть от этиологии патологического процесса. Воспаление дёсен вполне возможно лечить в домашних условиях, но только по предписанию врача. Приём средств народной медицины также возможен, но только как дополнение к основному курсу лечения.

Медикаментозное лечение может включать в себя приём таких препаратов:

  • спрей «Пародонтоцид»;
  • раствор «Мараславин»;
  • раствор «Полиминерол»;
  • гель «Холисал».

При сильной зубной боли можно использовать:

Следует понимать, что обезболивающее может дать только временный эффект, поэтому использовать его в качестве основы самолечения не стоит. Кроме этого, применять препараты этой фармакологической группы нужно только в крайних случаях, так как их злоупотребление может стать причиной плохого самочувствия. Также организм привыкает к данному препарату и должного эффекта уже не будет.

Врач может назначить антибиотики при воспалении десны, если этот симптом обусловлен инфекционным процессом. Если наблюдается воспаление дёсен при беременности, то приём медикаментозных препаратов сводится к минимуму.

При воспалении эффективно помогают специальные растворы для ополаскивания ротовой полости. В этом случае врач может назначить как отвар из трав, так и препарат «Хлоргексидин». Как полоскать рот хлоргексидином, скажет лечащий врач.

Лечить воспаление дёсен в домашних условиях можно и посредством народной медицины. В этом случае, можно использовать отвары из таких трав:

  • ромашка;
  • чабрец;
  • сбор из мяты, душицы и зверобоя;
  • арника;
  • листья земляники.

Народные средства

Есть очень широкий перечень народных методов и средств лечения воспалений десен. Они довольно эффективны, если форма заболевания не является острой и достаточно запущенной.

Настойки и отвары

Чаще всего используются отвары коры дуба и шалфея. Эти два средства обладают не только антисептическим, но еще и кровоостанавливающим и вяжущим действием.

  • Кора дуба. Одну столовую ложку заливают кипятком и держат в посуде на малом огне примерно 5–7 минут. После остывания полученную жидкость процеживают. Полоскания – 2 раза в день. © Alexander Raths / Fotolia
  • Шалфей. Готовится таким же образом, а полоскать нужно в день по 3–4 раза.
  • Также успешно используют отвары других растений – аира, алтея, змеевика, ромашки, календулы, зверобоя, листьев ореха грецкого и других.

Лекарственные растения – соки

Для снятия воспаления, болей и обеззараживания используют также сок некоторых растений, втирая его круговыми движениями в пораженные десны без сильного нажима.

В основном для этого используют каланхоэ, алоэ и щавель.

Мед

Мед содержит много активных веществ. Помимо этого, он является самым эффективным естественным консервантом. Это свойство позволяет воспрепятствовать появлению болезнетворных бактерий.

Мед в количестве 20 граммов следует смешивать с обычной поваренной солью (5 граммов). Эту смесь втирают в десны для избавления от бактерий.

Каковы симптомы роста зубов мудрости? Их, помимо температуры, может быть еще несколько.

В этой статье говорится о том, чем лечить стоматит у ребенка, которому уже есть 3 года.

Тут: https://www.vash-dentist.ru/krasota-i-uxod/narashhivanie/ot-chego-zavisyat-tsenyi-na-zubov.html — вы узнаете, из чего складывается цена на наращивание зубов.

Эфирные масла

Эфирные масла используют в качестве средств для проведения массажа десен. Если они не вызывают аллергических реакций, то успешно применяются для улучшения кровообращения и регенерации поврежденных тканей, а также для снятия воспаления.

Обычно для решения проблем с деснами используют персиковое, облепиховое, оливковое и пихтовое масла. Для получения сильного противовоспалительного эффекта лучше делать аппликации ими же.

В следующем видео вы узнаете, как предотвратить воспаление и кровоточивость дёсен с использованием народных рецептов:

Процесс чистки

Процесс чистки зубов при воспалении десен имеет свои особенности.

По причине болезненности нельзя использовать зубную щетку с твердой щетиной, нужно сменить ее на другую.

Подбирается щетка с мягкой щетиной, которая не будет травмировать ткани.

Зубы нужно чистить 2 раза в день, двигая щеткой сверху вниз.

Процедуру стоит проводить аккуратно, поскольку велик риск травмировать десна. После проведения чистки нужно тщательно прополоскать полость рта и промыть под проточной водой щетину щетки.

При лечении воспалительного процесса можно использовать:

  1. Лакалут;
  2. Мексидол дент фито;
  3. Пародонтакс;
  4. ПрезиДЕНТ;
  5. Лесной бальзам.

Зубные пасты доказали свою эффективность при проведении терапии.

Но наибольшую эффективность средства имеют при проведении профилактических процедур. Они не подходят для длительного использования, в том случае если в их составе есть антисептики.

В состав паст входят экстракты растений и трав, которые помогают предотвратить возникновение воспалительного процесса в полости рта.

Стоматологи рекомендуют использовать Лесной бальзам в качестве ополаскивателя для десен. Его можно применять как в качестве лекарственного препарата, так и в качестве профилактического средства.

Что делать

Воспаление десен поражает практически все возрастные группы пациентов. Интенсивность проявления симптомов при этом может быть разной.

Во многом развитие воспалительного процесса зависит от гигиены полости рта. Чем тщательнее человек следит за состоянием своей ротовой полости, тем выше шансы того, что заболевание обойдет его стороной. Чем больше на зубах скапливается зубного налета и других отложений, тем выше угроза, что может возникнуть воспаление. Стоматологи отмечают прямую связь между интенсивностью поражения и наличием зубного налета. Для подтверждения этой взаимосвязи был проведен интересный эксперимент.

Группе молодых людей со здоровыми зубами предложили на три недели отказаться от гигиенических процедур полости рта. По истечении отведенного времени у всех без исключения членов экспериментальной группы наблюдалось скопление большого количества зубного налета, а также начальные процессы воспаления. При этом стоматологи отмечали, что для того, чтобы появились первые признаки, достаточно всего две-три недели не уделять должного внимания гигиене полости рта! Так что для того, чтобы долго не знать, как именно болят больные десна, следует регулярно чистить зубы .

Однако наибольший интерес представляют следующие выводы данного эксперимента: после того, как члены экспериментально группы возобновляли гигиенические процедуры полости рта в полном объеме, через какое-то время все симптомы воспаления десен исчезали, а состав микрофлоры полости рта нормализовался. Это говорит о том, что если на начальной стадии развития уделить должное внимание гигиене полости рта, воспалительный процесс можно остановить. Особенно тщательно следует очищать от остатков пищи и зубного налета межзубные пространства и труднодоступные участки зуба, так как именно так скапливается больше всего зубного налета.

Однако если заболевание зашло довольно далеко, десны кровоточат и болят, гигиеническими процедурами, скорее всего, ограничиться уже не удастся. И единственный наш совет – как можно скорее посетить врача-стоматолога. Только он поставит правильный диагноз и назначит соответствующее лечение.

Причины воспаления десен могут быть самыми разнообразными, начиная от недостаточной гигиены полости рта и заканчивая механическими травмами. Рассмотрим самые распространенные из них:

  • недостаточная гигиена полости рта,
  • зубной камень,
  • ослабленный иммунитет,
  • прием препаратов, снижающих слюноотделение,
  • вирусы,
  • недостаток витамина С,
  • беременность,
  • наследственность,
  • курение,
  • некачественные зубные коронки и пломбы,
  • менструации,
  • прием гормональных препаратов.

Недостаточная гигиена полости рта. Со временем на зубах и деснах образуется невидимая человеческому глазу пленка из бактерий и сахара, которая в течение трех дней затвердевает. Если систематически чистить зубы, то пленка будет удаляться в ходе гигиенической процедуры по мере ее возникновения. Если же зубы чистить редко, то пленка затвердевает, превращается в зубной камень , и удалить ее самостоятельно уже нельзя. А в зубном камне, как и в налете, болезнетворные бактерии размножаются особенно быстро. Поэтому-то стоматологи и называют недостаточную гигиену полости рта одной из основных причин заболевания.

Зубной камень является не только рассадником бактерий, но и одной из причин травмирования десны. Поэтому время от времени следует посещать стоматолога для того, чтобы провести профессиональную чистку зубов и удаление зубного камня, так как самостоятельно сделать это не удастся. Таким образом, вы обезопасите себя от возникновения болезни.

Ослабленный иммунитет. Если организм человека ослаблен, он не может сопротивляться возникновению различных заболеваний, вызванных бактериями или вирусами. Поскольку воспаление десен имеет бактериальную основу, ослабленный иммунитет играет большую роль в развитии и возникновении заболевания.

Прием препаратов, которые способствуют снижению слюноотделения. Человеческая слюна является очищающим веществом, она бережно и совершенно естественно очищает зубы и десны от зубного налета. Если в результате приема лекарств количество слюны существенно уменьшилось, это может привести к изменению микрофлоры полости рта, и как результат – к воспалению.

Читать также: На десне шарик не болит

Воздействие вирусов. К примеру, одну из разновидностей гингивита – герпетический гингивостоматит вызывает вирус герпеса. Вирусы могут спровоцировать возникновение заболевания, если организм ослаблен предыдущими болезнями, поэтому гингивит чаще всего возникает после перенесенных заболеваний.

Недостаток витамина С. Казалось бы, какая тут взаимосвязь? Но, оказывается, отсутствие витамина С может привести к такому серьезному заболеванию, как цинга.

Беременность. Во время беременности происходит сложнейшая гормональная перестройка всего организма женщины, вследствие чего женщина жалуется, что у нее воспалилась десна. В этом случае следует уделять повышенное внимание гигиене полости рта и своевременно посещать стоматолога, чтоб к концу беременности не потерять все зубы.

Плохая наследственность и курение. Если родители страдают от того, что у них воспаленные десна, вероятность того, что их дети также пострадают повышается.

Некачественных зубных коронок и пломб. Если пломба или зубная коронка постоянно травмирует десну, то со временем она начинает воспаляться. Поэтому если у вас возникает чувство дискомфорта, а какая-то коронка царапает вашу десну, немедленно обратитесь к врачу и замените некачественную коронку на более качественную.

Менструальный цикл или прием гормональных контрацептивов. Поэтому женщинам в этот период следует особенно тщательно относиться к гигиене полости рта.

Отметим еще несколько причин, которые могут вызвать воспаление десны вокруг зуба, это:

  • заболевания желудочно-кишечного тракта,
  • сердечно-сосудистой системы,
  • сахарный диабет,
  • наличие инфекционных заболеваний.

Если вы страдаете одним из этих заболеваний, это отнюдь не означает, что у вас обязательно появится воспаление десен. Однако следует понимать, что вы находитесь в потенциальной группе риска.

Симптомы воспаления десен могут появляться постепенно, а их интенсивность нарастать со временем. Перечислим основные из них:

  • покраснение,
  • повышенная кровоточивость,
  • опухание,
  • неприятный запах изо рта.

На ранней стадии развития заболевания появляется покраснение, которые становятся ярко-красными. Поэтому если ваша десна изменила цвет, это уже повод обратиться к врачу, даже если других симптомов не наблюдается.

  1. На следующем этапе развития воспалительного процесса появляется повышенная кровоточивость. Чаще всего десны кровоточат во время проведения гигиенических процедур, а также при неосторожном прикосновении. Кровоточивость является довольно серьезным симптомом, который говорит о том, что процесс зашел далеко. Поэтому следует немедленно начать адекватное лечение. Мягкие ткани могут кровоточить сами по себе или даже благодаря легкому прикосновению или микротравме. Пораженная десна становится чувствительной к любым прикосновениям, и даже прием пищи может вызывать неприятные болезненные ощущения и кровоточивость.
  2. На следующей стадии развития воспаления все вокруг зуба опухает, в зубодесневом кармане может скапливаться гной, что вызывает появление неприятного запаха изо рта. Бывает и так, что неприятный запах изо рта является единственным симптомом болезни.
  3. Самым опасным признаком является выпадение зубов. Оно происходит на поздней стадии развития заболевания, в результате атрофии десен. Очень важно не доводить до этого, поэтому воспаление необходимо лечить своевременно, на ранней стадии развития заболевания.

Поскольку очень часто нам задают вопрос: «Воспалилась десна, что делать?», в данной статье мы постарались подробно рассказать вам все, что сегодня известно об этом заболевании. Надеемся, что наша статья поможет вам сохранить ваши зубы здоровыми как можно дольше.

Региональное распространение заболеваний десен в мире

Традиционно лучше всего дела обстоят в странах Западной Европы. Здесь гигиена полости рта давно стала частью социальной культуры. Есть и другой «полюс» – бедные страны Ближнего Востока, небольшие азиатские государства вроде Бирмы, Камбоджи. Здесь люди живут в таких условиях, что зубную пасту для защиты десен может позволить не каждая семья. Аналогично и в России. Есть целые территории, вроде Крайнего Севера, Чукотки, где местные народы живут веками в антисанитарии.

Симптомы заболеваний пародонта

Однако бывают исключения. Когда народ живет в глухих местах, но с деснами у них порядок. Как это можно объяснить? В большинстве случаев они спасаются различными природными средствами, содержащими антисептики. Это может быть сосновая смола, пчелиный прополис, различные отвары и настои из хвои, натуральных трав и т. д. Подобные продукты рекомендует к использованию и современная наука.

К слову о Европе. Есть и там проблемные регионы – Румыния, Албания, отдельные области Греции, Италии и Испании.

Здоровые зубы и десны

Если в рационе недостаточно питательных веществ и витамина С, начинаются воспалительные процессы в деснах. Это, к сожалению, неизбежно. Что же рекомендуют специалисты для жителей таких мест? Самый простой выход – закупать мультивитамины, минеральные комплексы. Популярные народные средства также можно использовать.

Терапия в домашних условиях

Медикаменты

Антибактериальные средства применяются только после консультации с доктором.

Среди наиболее популярных средств отмечают:

  • Амоксицилин, Аугментин;
  • Ципролет, Нолицин;
  • Метронидазол.

Амоксициллин

Аугментин

Ципролет

Нолицин Метрнидазол Лечебный курс составляет 7-10 дней.

Лучшие аптечные средства:

Гели

Высокий противомикробный, антивоспалительный эффект отмечают у:

  • Холисал – геля. Средство отлично проникает в десну.
  • Метрогил – Денты, содержащего антибиотик и антисептик Хлоргексидин.
  • Камистада, отличающегося сильным обезболивающим действием.
  • Пародонтоцида, состоящего из эфирных масел.

Холисал

Метрогил Дента

Камистад

Пародонтоцид

Для информации! Поскольку гели изготавливаются на водной основе, тогда как мази на жировой, их чаще применяют для лечения десен. Они способны дольше удерживаться на слизистой.

Ополаскиватели

Снять воспаление помогут:

  • Хлоргексидин (раствор).
  • Мирамисин.
  • Фурацилин (раствор).

Хлоргексидин

Мирамистин

Фурацилин

Зубные пасты

  • Lacalut Aktiv.
  • Lacalut Фитоформула.
  • Parodontax.
  • Лесной бальзам.

Lacalut Aktiv

Lacalut Фитоформула

Parodontax

Лесной бальзам Обзор паст при кровоточивости десен:

Перекись водорода

  • Для полосканий нужно приготовить раствор из 10 капель средства и 50 мл чистой воды.
  • Обработка десен 3% перекисью водорода при помощи ватной палочки.
  • Для чистки зубов необходимо сделать смесь из ½ ч. л. пищевой соды, 20 капель раствора гидроперита и 10 капель свежевыжатого сока лимона. Использовать смесь вместе с зубной пастой.

Народные методы

  • Отвар из ромашки, календулы, шалфея, тысячелистника готовится следующим образом: 1 ст. л. одного из вида трав заливается 1 стаканом кипятка.
  • Настаивается в течение 30 мин.
  • После чего, отвар нужно процедить и применять для полосканий.

Отвар из дубовой коры. Его готовят из 1 ст. л. сырья и 200 мл крутого кипятка. Массу сначала выдерживают на слабом огне в течение 5-7 мин и дают настояться (3-3 часа). Использовать отвар две недели.

Эффективный народный метод:

Витамины

  • Аскорутин (быстро устраняет кровоточивость).
  • Кальций – D3 (при дефиците кальция).
  • Дентовитус (защита от болезней десен).

Аскорутин

Кальций Д3

Денто Витус

Диета

  • Бобовые растения (в них много фосфора).
  • Различные овощи, фрукты.
  • Зерновые, орехи.
  • Нежирное мясо, рыба.
  • Зелень.

Хирургические способы лечения пародонтита

В нашей клинике при необходимости применяются различные хирургические методы, при этом на лечение десен цена приемлемая для всех пациентов. Заболевание возможно устранить с помощью передовых методик:

  • вскрытие абсцесса при пародонтозе;
  • закрытый кюретаж пароднтологического кармана;
  • увеличение прикреплённой десневой ткани;
  • шинирование зубов;
  • применение стекловолокна для укрепления зубов.

Лечение десен хирургическими способами позволяет укрепить зубы и предотвратить их разрушение и выпадение. Устранить пародонтоз можно, если своевременно обратиться в нашу клинику к врачу-пародонтологу.

Лечение десен лазером

Устранение проблем в пародонте также осуществляется с помощью лазерного оборудования. Метод позволяет глубоко продезинфицировать всю десневую ткань и ротовую полость. Лазер оказывает мощное регенерирующее воздействие. Его применение безопасно и целесообразно при пародонтите. Процедура имеет меньше противопоказаний и доступна большинству наших пациентов. После процедуры реабилитация проходит более быстро и легко. Восстановление зубов, десневых тканей лазером – инновационный метод, который широко применяется в Европе.

Терапия выполняется курсом, который назначает врач. Уже после первой процедуры происходит частичное восстановление клеток ткани. Лазер обеспечивает бесконтактную малоинвазивную стоматологическую помощь и положительный эффект. Технология позволяет специалисту устранить все проблемы при заболевании, а также ликвидировать стоматит и гингивит.

Комплексное лечение оказывает более положительный результат. Применение антибактериальных медикаментов, воздействие лазера, хирургический кюретаж позволяют забыть о заболевании. Как показывает статистика, комплексные терапевтические методы эффективнее на 65%, чем выполнение монотерапии.

Способы терапии

Уже при первичных признаках развития воспалительных процессов десен крайне необходимо обратиться в медицинское учреждение, где будет проведена точная диагностика и подобрана оптимальная схема лечения патологии.

В зависимости от стадии прогрессирования заболевания, доктор очистит зубную поверхность от лишних отложений, локализует абсцесс, выполнит профилактические мероприятия. Как правило, терапия проводится комплексно, и может включать целый ряд способов и методик.

О том, почему важно, чтобы лечение было назначено именно стоматологом, узнаем в этом видео:

Лекарственные препараты

Современный рынок фармакологии способен предложить целый ряд эффективных препаратов для устранения данной проблемы в качестве таблеток, мазей, кремов и спреев.

Холисал

Выпускается в форме геля. Основные компоненты – хлорид Цеталкония и салицилат. Данные вещества прекрасно устраняют патогенные микроорганизмы, эффективно купируют боль.

Спустя 3-4 минуты после нанесения, состояние здоровья значительно улучшается. Примерная стоимость в аптечной сети за 10 граммовую упаковку – около 300 рублей.

Всегда ли показано лечение флюса антибиотиками? Узнайте об этом в подготовленной для вас статье. А здесь мы объясним, почему щелкает челюсть при открытии рта.

«Лесной бальзам»

Применяется как комплексное средство в борьбе с патологией. Используется в качестве полоскания. Характеризуется богатым леченым составом на основе пяти компонентов лекарственных растений. Хорошо обеззараживает и локализует очаги инфицирования.

Полностью на натуральной основе. Стоимость в зависимости от производителя варьирует в среднем по стране от 80 до 120 рублей за 250 – 280 мл. Эффект достигается при регулярном применении.

Бальзам «Асепта»

Само название средства говорит о том, что перед нами отличный антисептик. Препятствует распространению инфекции, убивает микробы. Требует регулярного использования. Локализует кровотечение.

В состав входят компоненты бензидамина и хлоргексидина. Инновационный препарат улучшенного спектра действия. Цена – примерно 380-400 рублей.

Рецепты народной медицины

Практически любое воспаление десен носит характер инфицирования, и прекрасно помогут с ним справиться проверенные многолетней практикой традиционные способы лечения в домашних условиях.

Соль

Хорошо снимает отечность, успокаивает мягкие ткани десны. Подходит в любом виде – как морская, так и обычная, поваренная. Приготовление: 1 чайная ложка на 200 г теплой кипяченой воды. Полоскать через каждые 2 часа до улучшения ситуации.

Рекомендуется ежедневно втирать морскую соль в область инфицирования, а так же обрабатывать зубной щеткой, смоченной в данном растворе, челюстной ряд. Облегчение наступает уже на 2 -3 сутки.

Чистотел

Столовую ложку сухой травы измельчить, залить 250 г воды и кипятить на слабом огне 20 минут. Настаивать в течение часа. Хорошо процедить. Полоскать полость в зоне поражения. Быстрый и выраженный эффект. Спустя несколько дней патология исчезнет без следа.

Зверобой дырчатый

Отличается мощным оздоровительным эффектом. Подходит для лечения любых патологических процессов полости рта. Заварить крепкий отвар, настоять ночь. Раз в сутки, перед тем, как лечь спать, полоскать не только десны, но и горло.

Можно воспользоваться аптечной настойкой и развести концентрацию, рекомендованную на упаковке. Если заболевание не запущено, положительная динамика наблюдается уже после нескольких процедур.

Алоэ

Эффективно в виде кашицы из свежих листьев растения, которому не менее 3 лет. Смесь довести до кипения в эмалированной емкости, процедить и охладить. Настоять полчаса. Полоскать 5-6 раз в течение дня, хранить в темном месте.

Средство эффективно в сочетании с медикаментозной терапией как вспомогательное лечение.

Кофе

Процесс приготовления длительный, зато результат принесет желаемое облегчение достаточно быстро. Как правило, после нескольких манипуляций, инфицирование купируется, боль уходит, отек спадает. Способствует регенерации мягких тканей.

Зерна слегка обжарить и смолоть до состояния порошка. Смешать с сахарной пудрой в соотношении 1:2. Массировать десны 3 раза в сутки. Можно это делать пальцем, можно – с помощью зубной щетки.

После этого обработать полость обеззараживающим раствором. Курс лечения до полного выздоровления – несколько недель, при этом симптоматика проходит практически сразу.

Использование антибиотиков

На стадии прогрессирования заболевания прием антибиотиков – необходимое условие для его устранения. Выбор препарата должен осуществлять только врач в соответствии с природой возникновения, а так же степени тяжести патологии.

Метронидазол

Препарат широкого спектра действия с выраженной антибактериальной направленностью. Отличное противомикробное средство для локализации очагов поражения патогенными микроорганизмами. Курс терапии — 7-10 дней.

Основная составляющая средства – оксиэтил. Вспомогательные компоненты – натрия хлорид, кислота денатриевая. Стоимость блистера с 20 таблетками – от 70 рублей.

Линкомицин

Представитель группы гликозамидов. Эффективный препарат терапевтической направленности. Продолжительность лечения – 10 суток. Выпускается в таблетках, капсулах и инъекциях. Подходит для лечения любых воспалений полости рта, имеет противопоказания.

Быстро купирует сепсис, показан при остеомиелите. Состав: компонент линкомицина. Стоимость: инъекции (10 ампул) – от 50 руб, капсулы (20 штук) – от 120 руб., таблетки (упаковка) – около 160 рублей.

Клиндамицин

Производная форма описанного выше антибиотика. Форма выпуска – капсулы, инъекции. Состав: гидрохлорид компонента клиндамицина.

Показания: инфекции и воспаления полости рта и десен, острые формы стоматологических заболеваний. Цена капсулы – от 160 руб., ампулы – от 600 руб.

О том, как проводят лечение подчелюстного лимфаденита у детей, мы расскажем в отдельной статье. Перейдя по следующему адресу: https://dentist-pro.ru/lechenie/bolezni-polosti-rta/stomatit-bpr/zarazno-li-zabolevanie-i-kak-s-nim-borotsya.html — вы узнаете, заразен ли стоматит у детей.

В этом обзоре можно найти рецепт, как избавиться от кариеса в домашних условиях.

Болит десна у зуба мудрости

Все мы знаем, что зубы мудрости – головная боль всего человечества. Они растут с 18 до 25 лет, иногда дольше. Причем часто они делают это либо очень медленно, либо слишком болезненно, иногда под каким-то немыслимым углом. Иногда возникает такая ситуация, когда над зубом нарастает капюшон из мягких тканей. Между ним и зубом начинает скапливаться «биологический мусор», в том числе – продукты жизнедеятельности бактерий. В конечном итоге приходится прибегать к хирургическим методам лечения – иссечению десны на этом участке.

Капюшон над зубом мудрости

В большинстве случаев боль в десне связана с самим процессом прорезывания. Он, к сожалению, длительный и может сопровождаться всплесками воспалительных процессов, с повышением температуры до субферильных значений и другими неприятными симптомами. Это уже не говоря о постоянной ноющей боли. Вылечить естественный процесс невозможно по понятным причинам. Но облегчить состояние помогают теплые полоскания и НПВС.

Однако злоупотреблять нурофеном, нимесулидом и прочими препаратами не стоит. У них обширный список побочных действий.

Хирургические и нехирургические методы лечения

В качестве профилактики гингивита, а также при отсутствии острой формы можно применять следующие методы:

  • проведение профессиональной чистки. Процедура осуществляется каждые полгода. Профессиональная чистка снизит риск развития патологии;
  • специальная чистка и полировка. С помощью полировки корней зуба происходит очищение от налета и камней.

Профессиональная чистка и полировка проводится с проведением местной анестезии

Запущенные формы заболевания лечатся с помощью оперативного вмешательства:

  • лоскутная операция. Пустота между десной и зубом уменьшается, благодаря поднятию десны. По ходу процедуры удаляется налет и зубной камень;
  • операция подсадки ткани. Для того чтобы укрепить десна, небные ткани подсаживают с десне;
  • восстановление тканей. Операция проводится при сильном ослаблении кости, которая поддерживает зубы. Подсаживается особая ячеистая материя в область, которая находится между костью и десной.

Как лечить гингивит

В лечении гингивита используется комплекс медицинских мер, направленных на избавление от болезненных симптомов, устранение причин патологии и восстановление здоровья десен.

Комплексный подход к лечению

Он заключается в сочетании местных и общих видов терапии. Это позволяет успешно справляться с разными формами и видами патологии. Лечение включает:

  1. Удаление зубного налета. Это крайне важно при катаральной разновидности, ведь именно налет, практически на 100 % состоящий из патогенной микрофлоры, считается причиной воспаления. Полностью избавиться от отложений позволяет ультразвуковая чистка, которая проводится в условиях стоматологического кабинета. Народными методами, а также домашней зубной щеткой это сделать невозможно. По окончании процедуры эмаль полируют, что в перспективе позволяет уменьшить скорость образования зубных отложений.
  2. Противовоспалительное лечение. Это следующий этап, который заключается в промывании полости рта специальными составами, а также наложении повязок с лечебными мазями, и выполнении других процедур — в клинике и дома.
  3. Применение специальных лекарственных препаратов. Их выбор определяется видом гингивита, формой его течения и другими факторами. Это могут быть, например: антибактериальные, противогрибковые или противовирусные лекарства, которые потребуется применять как наружно, так и внутрь.
  4. Санация ротовой полости. Она заключается, прежде всего, в удалении кариозных очагов, которые являются постоянным источником инфекции. Это выполняется сразу после снятия острых симптомов гингивита, и позволяет свести к минимуму риск рецидивов.
  5. Устранение обстоятельств, усугубляющий воздействие инфекции:
  • избавление от травмирующих факторов (замена зубных протезов и конструкций);
  • коррекция прикрепления уздечки (выполняется методом пластической операции).
  1. Обучение правильной чистке зубов. Именно так, ведь воспаление десен говорит, в числе прочего, о том, что ежедневный уход за ротовой полостью осуществлялся ненадлежаще. Если не придать этому значения, результат лечения продержится недолго. Чтобы исправить ситуацию, стоматолог проконсультирует, какие щетки лучше применять, как правильно чистить зубы, а также порекомендует наиболее подходящие пасты.
  2. Для стимуляции процесса регенерации используют кератолитики (средства, вызывающие отшелушивание омертвевших клеток). С этой целью показаны аппликации с маслом облепихи и шиповника, а также специальные гели.
  3. В качестве общеукрепляющих средств назначаются витаминные комплексы, адаптогены (для повышения неспецифической сопротивляемости организма к вредным воздействиям), антиоксидантные препараты, а также медикаменты, позволяющие наладить обмен веществ.

Комплексный подход составляет основу лечения гингивита. Остальные методы лишь дополняют его.

Индивидуальный подход

Правильно подобранная терапия непременное учитывает все патологии организма и иные обстоятельства, характеризующие общее состояние здоровья и иммунный статус человека. Большое значение придается:

  • степени тяжести и этиологии гингивита;
  • возрастному фактору.

Систематичность

Чтобы максимально продлить периоды ремиссии и снизить вероятность обострений, существуют промежуточные лечебные курсы.

Гингивит удается вылечить через 7-10 дней, если он протекает в острой форме, а терапия начата своевременно.

Избавиться от воспаления десен — это последний шанс остановить процесс деструктивных изменений пародонта и предотвратить более серьезную патологию, которая заканчивается расшатыванием и утратой нормальных зубов. Следует учитывать, что пародонтит лечится гораздо сложнее. Поэтому при появлении проблем с деснами стоит немедленно поспешить к врачу.

Ссылка на основную публикацию
Похожее